- 12-дек-2023, 21:25
Загадочная болезнь превратила пятерых членов семьи из Доминиканы в «инопланетян» - «Новости медицины»
Неизвестная болезнь, делающая человека похожим на «инопланетянина», поразила пятерых из 12 членов семьи в Доминиканской республике. Их историю рассказывает Daily Star.
Загадочное заболевание развилось у жителей деревни в провинции Сан-Хуан. У Исайаса, Грасиозы, Пресьозы, Антонио и Мигелины Баутиста с детства наблюдается странное отклонение, влияющее на форму черепа. У них образовались огромные наросты на лбу, скулах и между глаз.
«В какой-то момент мы даже начали в это верить [что являемся пришельцами]. Нам постоянно говорили, что мы точно, как те инопланетяне. Но потом нашлись добрые люди, которые сказали: “нет, вы такие же, как мы”», — рассказал Исайас.
Помимо деформации лиц, доминиканцы страдают от мигрени и боли во всем теле, а также испытывают проблемы с дыханием из-за измененной формы носа. Некоторые врачи предполагают, что Баутиста больны леонтиазом — редчайшим заболеванием, при котором у пациентов аномально разрастаются кости, превращая их лица в подобие львиных морд. Всего в мире известно не более 40 случаев этой болезни. Однако эксперты не уверены, что семейство из Доминиканы страдает именно леонтиазом (leontiasis, синдром львиного лица).
Баутиста рассказали, что из-за внешнего вида являются изгоями в обществе и не могут найти работу. Сейчас они пытаются собрать деньги, чтобы оплатить услуги диагностов и точно узнать, чем больны.
В результате избыточного уровня содержания кальция в костях, формирующих череп, у больных отмечается неконтролируемый рост лицевых костей. Из-за чего сильно сдавливаются нервы, провоцируя потерю зрения, ухудшение слуха, умственную отсталость и другие проблемы. Лекарств от леонтиаза нет. Существующие терапевтические методики направлены лишь на смягчение симптомов и улучшение общего состояния. К тому же в принципе поразительно, что с такой болезнью парни и девушки вообще дожили до взрослого возраста.
Единственный существующий метод лечения состоит в обнажении разросшейся кости, отламывании кусочков или полном иссечении, если это возможно. Братья и сестры Баутиста ищут пожертвования. Самостоятельно оплатить постановку точного диагноза и лечение доминиканцы, живущие на грани нищеты, не в состоянии.
Костный леонтиаз (гемикраниоз)
Костный леонтиаз, также известный как леонтиаз, львиная морда или синдром львиной морды, является редким заболеванием, характеризующимся чрезмерным ростом лицевых и черепных костей. Это не болезнь сама по себе, а симптом других заболеваний, включая болезнь Педжета, фиброзную дисплазию, гиперпаратиреоз и почечную остеодистрофию.
Распространенной формой является та, при которой поражается та или иная верхняя челюсть, ее размер постепенно увеличивается и, таким образом, затрагиваются полости орбиты, рта, носа и придаточных пазух. Постепенно развивается- экзофтальм, переходящий позже в полную потерю зрения из-за сдавливания зрительного нерва чрезмерным разрастанием кости. Также могут наблюдаться нарушения носового дыхания и при приеме пищи. При несколько менее распространенной форме этого редкого заболевания чрезмерный костный рост поражает все кости черепа, а также кости лица, чувства теряются одно за другим и, в конечном счете, наступает смерть в результате церебрального давления. Другого лечения, кроме обнажения разросшейся кости и откола кусочков или полного иссечения, по возможности, не существует.
Под названием “костный леонтиаз” или более современным наименованием “гемикраниоз” подразумевается особое поражение лицевого скелета и в меньшей степени мозгового черепа, влекущее за собой обезображивание лица. Обширные костные разрастания имеют, как правило, односторонний характер, а при двусторонней локализации они несимметричны. Наиболее тяжелое уродство получается при нарушении правильного взаимоположения глаз – при одностороннем пучеглазии, когда один глаз оказывается расположенным выше другого и смещенным в сторону или вперед. Лицо больного выглядит, как в кривом зеркале, и в тяжелых случаях сильно искажается.
Существуют различные типы костного леонтиаза. По современным представлениям ясно, что костный леонтиаз – это не определенная нозологическая форма, а только сборное понятие. Но тем не менее это клинико-анатомическое понятие, объединенное тяжелым искажением черт лица из-за деформации подлежащего скелета, а современной медицине укино сохраняется. Костный леонтиаз может развиться в очень редких случаях обезображивающей остеодистрофии, которая вообще щадит лицо. Более часто он встречается при гиперпаратиреоидной остеодистрофии. Это – симптоматический костный леонтиаз.
В подавляющем же большинстве случаев костный леонтиаз имеет черты вполне определенного самостоятельного заболевания. Обычный костный леонтиаз – это не что иное как черепная локализация фиброзной дисплазии костей. В пользу такой точки зрения говорят все клинические, анатомо-гистологические, функциональные и рентгенологические проявления этой болезни.
Костный леонтиаз начинается обычно в детском и особенно в юношеском возрасте. Резко преобладает заболеваемость женского пола. Начало болезни трудно точно определить, так как чрезвычайно медленное развитие и течение процесса не сопровождается болями. На первый план выступает косметическая сторона. Указания на травму в качестве причины появления, усиления или ускорения деформаций обычно оказываются при строгом критическом подходе сомнительными. Часты жалобы на затруднения носового дыхания – на заложенность носовых ходов. Бывают головные боли, нарушение зрения и слуха. Но общее состояние организма остается вполне нормальным, эндокринные симптомы отсутствуют, биохимических сдвигов в крови нет. Течение по существу доброкачественное, малигнизация никем не описана.
![]()
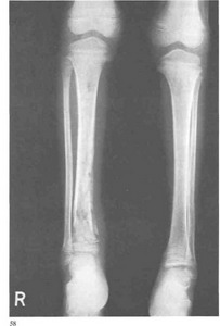
Хотя распознавание ясно на основании типичных клинических данных, рентгенологическое исследование вносит уточнение и является ценным диагностическим подспорьем. Всегда необходимо рентгенологически, хотя бы даже рентгеноскопически, проверить весь скелет в целом, чтобы не просмотреть фиброзную дисплазию костей. Рентгенограммы черепа показывают значительные односторонние костные разрастания главным образом верхней и нижней челюстей, скуловой, носовой и других костей лицевого черепа. Разрастания имеют обычно диффузно-склеротический и гиперостотичеокий характер. При переходе процесса на мозговой череп, на лобную кость, он обычно перекидывается и на другую сторону лица, и при этом асимметрия остается. Черепные швы составляют некоторый барьер для костных разрастаний, перед швами рост и распространение патологического процесса подчас задерживаются или даже полностью обрываются.
Диференциально-диагностически важно, что придаточные полости носа замещаются костной тканью, их воздушность теряется, чего не бывает при обезображивающей и паратиреоидной остеодистрофии. Ряд сложных клинических неврологических симптомов получает благодаря дополнительному уточненному рентгенологическому исследованию свое объяснение в костном сужении отверстий или каналов для того или иного нервного ствола. Каждый случай этого своеобразного хронического заболевания носит в себе неповторяемые индивидуальные особенности.
Хирургическое лечение применяется только в ограниченном числе случаев с целью декомпрессии, но не по существу самого основного патологического процесса, рост и развитие которого оперативным путем приостановить нельзя.
Обратите внимание:
Остеомиелит
Тяжелый острый респираторный синдром (SARS)
Склеродермия
Кости, диабет и ожирение...понятия совместимые

